消化器内科
診療科からのお知らせ/コラム
- 【急性胆嚢炎に対する新規内視鏡治療法のご案内】
- 膵石に対するESWL治療の紹介受け入れ制限についてのご案内
- 関野消化器内科部長 膵臓がん早期診断プロジェクト講演会ダイジェスト動画のご案内
- 鈴木雅人医師(現 横浜医療センター)が当院所属時に執筆した論文が日本消化器内視鏡学会の学会賞を受賞しました!
- 岡田副部長就任あいさつ
- 当科の研修、就職を検討されている方へ
- 2023年度学会活動報告
- 横浜労災病院 膵臓がん早期診断プロジェクトのご案内 (横浜市の広報で取り上げられました)
- 病院検索サイト「Hospitals File」に消化器内科のインタビュー記事が掲載されました。
- SpyGlassTMDS(新型胆道鏡)を導入しました
- 登録医の先生方へ 上部消化管内視鏡検査の積極的な共同利用をお願いします。
- 外来予約についてのお知らせ
- 吐下血・黄疸ホットライン体制のお知らせ
- 消化器内科では、胆膵疾患の早期診断、内視鏡治療を積極的に行っています。
- 早期癌に対する内視鏡治療を積極的に行っております
診療科紹介
消化管、肝胆膵のすべての消化器系にわたる疾患を扱い、急性期治療から高度医療に至るまで高いレベルの診療を目指しています。
食道・胃・大腸の早期がんに対する内視鏡的切除治療は粘膜下層剥離術(ESD)を基本とし、治療件数は市内で最上位クラスであり、重篤な治療合併症もほとんどなく、安全・確実な治療を実践しています。
胆膵系においては、胆管結石、膵石に対する十二指腸乳頭筋切開術(EST)、大口径バルーン拡張術(EPLBD)などを施行、胆管狭窄症例や胃術後などの治療困難例では、超音波内視鏡(EUS)下胆管穿刺ドレナージやステント留置など、極めて高度な治療を行っています。EUS検査、EUS下穿刺生検(EUS-FNA)とも、全国でも最上位クラスの件数を誇っています。
ヘリコバクター・ピロリ除菌治療、C型肝炎に対する直接作用型経口抗ウイルス薬(DAA)治療、B型肝炎に対する核酸アナログ製剤経口治療、逆流性食道炎、炎症性腸疾患、自己免疫性肝炎、原発性胆汁性胆管炎、非アルコール性脂肪肝炎(NASH)などほとんどの消化器系疾患における診断・治療も行っています。
巨大肝嚢胞、原発性肝がん、放射線性直腸炎などの治療に困る症例も、経皮的穿刺治療やアルゴンプラズマ凝固法(APC)など、良好な治療成績をあげています。
イレウス、急性胆嚢炎などは治療開始初期から外科と綿密な連携を取って、外科的治療が必要な場合には遅滞なく対応できるようにしています。進行がんに対する化学療法、放射線療法においては、腫瘍内科や放射線治療部と密接に連携し、肝がんの肝動脈化学塞栓療法や出血性胃十二指腸疾患の内視鏡治療難渋例では放射線IVR科と密接に連携し、それぞれ最適な治療を行っています。
以上のように、一般的な消化器疾患から救急症例、高度治療症例まで、あらゆる症例を積極的に受け入れて地域医療支援病院としての貢献に努めています。
扱う疾患
消化管疾患
①早期消化管がん
当科では早期食道癌・胃癌・十二指腸癌・大腸癌の早期診断、治療(内視鏡的粘膜下層剥離術、ESD)に特に力を入れております。治療件数は年々増加傾向にあり、2014年度には70件だった治療件数が2024年度には269件まで増加しております。全体の半数以上が他院からご紹介いただいた患者さんです。他院からは地域の中核病院として安心してご紹介頂き、患者さんに対しては安全・安心な治療を心掛けながら日々診療にあたっております。 残念ながら内視鏡治療が不適格と判断された場合でも、外科と密接に連携を取り遅滞なく必要な手術が受けられる体制が整っております。
内視鏡的粘膜下層剥離術(ESD)
ESDは病変を分割することなく一括で切除するために開発された治療法です。専用のナイフを用いて病変の端から少しずつ確実に剥離して大きな病変でも最終的に一括切除します。一括切除することで治療後の正確な病理(顕微鏡検査)評価が可能となり、癌が取りきれたか、どこまで深く浸潤しているかなどを判定し再発リスクや追加治療の必要性が適切に判断出来ます。再発リスクがあるような深めの癌を疑う場合は治療前に超音波内視鏡検査(細径プロープ)も追加し、より正確な診断を心掛けております。

早期胃癌に対するESD治療

早期大腸癌に対するESD治療
大腸ポリープ切除術(EMR、コールドポリペクトミー)
EMRは従来から広く行われている治療法です。ポリープ直下に生理食塩水を注入し、「スネア」と呼ばれる金属製の輪をかけて高周波電流によって切り取ります。主に20mm以下のポリープに対して行います。
一方でコールドポリペクトミーとは比較的新しい治療法であり、スネアのみを用いて電流を使わずにポリープを切り取る方法です。電流による血管への余計なダメージがないことでEMRよりも術後出血が少ないと言われており、主に小さめの良性ポリープに対して行います。

大腸腺腫に対するコールドポリペクトミー
②悪性腫瘍による消化管通過障害
消化管ステント留置術
癌などの病気によって食道、胃、十二指腸、大腸などの消化管が狭くなり食事・便が通過できなくなった場合に「金属ステント」という金属製の網目状の筒を消化管に留置します。他の治療法として消化管バイパス術(外科手術)もあり、外科と協議しつつ適切な治療法を選択しております。
③消化管出血
内視鏡的消化管止血術
出血性胃潰瘍、十二指腸潰瘍、大腸憩室出血、直腸潰瘍などの内視鏡的止血処置を多数行っております。ほぼ全例、内視鏡で止血が完了しますが稀に止血困難の際には放射線治療科と連携しカテーテル治療も速やかに行える体制を取っております。

出血性胃潰瘍に対する凝固止血

大腸憩室出血に対するEBL(バンド結紮術)
内視鏡的静脈瘤結紮療法(EVL)・静脈瘤硬化療法(EIS)
食道・胃静脈瘤破裂に対して内視鏡を使ってゴムバンドで結紮、止血します。破裂予防として硬化剤を血管内に注入し静脈瘤を消失させることもあります。

食道静脈瘤破裂に対するEVL
④小腸腫瘍、小腸出血
小腸カプセル内視鏡検査
長さ26mmのカプセルを水と一緒に飲み込んで頂き、あとはカプセルが自動的に写真を撮り続け、体外に装着した機械に画像データを送信します。カプセル自体は後日便と一緒に排泄されます。胃カメラ、大腸カメラを行っても出血源不明の消化管出血を主な対象としており、当院でも積極的に検査に取り組んでおります。

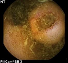
潰瘍形成した小腸粘膜下腫瘍
小腸内視鏡検査
当院では主にカプセル内視鏡で発見された出血源や腫瘍に対しての止血処置・精査として行っております。小腸内視鏡を常備している施設は決して多いとは言えず、近隣施設からも小腸の精査目的に多数のご紹介を頂いております。

小腸内視鏡によるクリッピング止血処置
胆膵疾患
当科は胆膵疾患、特に膵がんや胆道がんの早期診断と治療を最大の目標の一つとして 日々の診療を行っています。胆膵疾患に対する内視鏡検査数は内視鏡的逆行性膵胆管造影 (ERCP)、超音波内視鏡検査(EUS)ともに年々増加傾向です。2024年度では、ERCPは762件、EUSは検査のみで1,213件、穿刺を含めると1,353件と国内でもトップクラスの症例数を扱っています。他院での治療困難 例の転院治療やご紹介なども多く扱っており、紹介施設や患者様の希望に応じてEUSやEUS- FNA等の検査のみ当院で施行し、治療自体は紹介元で継続していただくような地域連携体制も 整っています。横浜市民、特に港北地域の皆様の役に立てるよう、スタッフ一同、熱意をもって取り組んでいます。
①急性胆管炎、胆嚢炎
胆道ドレナージ術
胆管狭窄や総胆管結石による胆汁うっ滞に対して、プラスチックチューブステントや金属ステントの留置を行っています。

肝門部胆管癌に対する両葉金属ステント

膵癌による十二指腸狭窄に対する十二指腸ステント+胆管ステント
②総胆管結石
結石除去術
十二指腸乳頭を切開(EST)あるいはバルーン拡張(EPBD)した後、総胆管や膵管内の結石を 除去します。
多数の総胆管結石が積み上げ状に存在する場合や巨大な総胆管結石の場合には、大口径 バルーン(EPLBD)での乳頭処置を行うことで、少ない処置回数、短時間での治療が可能です。

大口径バルーンによる乳頭拡張術
③膵嚢胞性疾患、膵腫瘍、消化管粘膜下腫瘍、胆道腫瘍の診断
超音波内視鏡検査(EUS)
内視鏡先端に超音波プローベがついた超音波内視鏡検査により、消化管外臓器の診断が 可能です。具体的には、嚢胞を含めた膵腫瘍、消化管粘膜下腫瘍、胆道腫瘍のほか、 消化管に近接したリンパ節や腫瘤の観察が可能です。
超音波内視鏡下吸引針生検(EUS-FNA)
EUSでの観察で、穿刺適応病変があった場合、EUS-FNAによって病理検査が可能です。 従来細胞採取が困難であった膵体尾部腫瘍や粘膜下腫瘍、リンパ節などを対象にEUSで 病変を視認しつつ19~25Gの穿刺針を用いて生検します。 当科では1泊2日の入院での検査を基本としています。

EUS-FNAに用いる内視鏡UCT260 (オリンパス社)

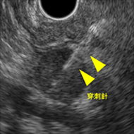
膵尾部腫瘍に対するEUS-FNA

閉塞性黄疸に対するEUS-BD十二指腸球部から総胆管に直接金属ステントを留置しています

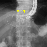
胃から肝臓内の胆管に金属ステントを留置しています

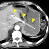
超音波内視鏡で肝臓内の胆管を穿刺しています
④悪性胆管狭窄、膵嚢胞性病変に対する先進治療
超音波内視鏡下嚢胞ドレナージ術(EUS-CD)
EUS-FNAの技術を応用し、経消化管的(胃あるいは十二指腸)に膵仮性嚢胞にチューブを 留置します。従来の外科的ドレナージと比べて低侵襲であり、経皮的ドレナージと比べても チューブが体外に出ることなく治療可能であり、高い治療効果と成功率が期待できます。
超音波内視鏡下胆道ドレナージ術(EUS-BD)
ERCPによる経乳頭的な胆道ドレナージが困難な場合に胃あるいは十二指腸から胆管を穿刺し、 ステントを留置します。従来のPTBD(経皮経肝的胆道ドレナージ)と比較して、チューブが 体外に出ることがなく、金属ステントを用いることで長期間のステント開存が期待できます。
他、EUS-BDの技術を応用して、通常処置で治療困難な総胆管結石の治療を行うことも可能です。
※EUSやEUS-FNAについて、適応含めてお困りの患者様がいらっしゃいましたら是非ご紹介ください。 その他、通常処置での治療困難例や緊急ドレナージを必要とする急ぎの症例は電話でのご連絡でも 構いません。
横浜労災病院 膵臓がん早期診断プロジェクトのご案内(横浜市の広報で取り上げられました)

2018年に国立がん研究センターより発表された各種がんの3年生存率において、膵臓がんは全体で16.9%と最も予後不良であると報告されています。
その中身を見ていきますと、病期Ⅲ、Ⅳ期の方は非常に厳しい生存率であることが分かります。一方で、病期Ⅰ期の方は6割以上の3年生存率が報告されており、特に早期診断が重要な領域と言えます。
そこで、当科では2018年より「膵臓がん早期診断プロジェクト」を発足致しました。このプロジェクトは地域の先生方との病診連携を通して、膵臓がんを疑うサインが発見された場合に、直ちに精密検査を行って適切な診断を行うものです。
膵臓がん発症リスクと考えられる項目
具体的には、上記に示すような膵臓がん発症のリスクファクターを有する患者さんを積極的にご紹介頂き、MRIおよびEUSでの精密検査を行っていきます。 「膵臓がんをいかに早期に診断するか」は全国的にも喫緊の課題とされていますが、小さな膵臓がんを診断するのに非常に重要な役割を担っているのが超音波内視鏡検査(EUS)です。しかしながら、2022年度版膵臓がん診療ガイドラインにおいて、「EUSは習熟した施設で行うことが望ましい」と注釈がなされており、術者間での診断能格差が懸念されています。
当院は2015年度よりEUSをスクリーニング検査として本格導入し、その検査数と診断能力の向上を目指してきました。2024年度では穿刺術や治療を除いた画像診断のみのEUS検査を1,213件行っており、全国でも有数の経験数を持つEUSのハイボリュームセンターです。治療の必要がある病変が発見された場合は引き続き、消化器内科、外科、腫瘍科を中心とした集学的治療を行ってまいります。
当プロジェクトと地域の先生方との協力によって、徐々にその成果が出つつあります。
膵臓がんと診断された方の内、一般的に手術可能である診断病期0~II期の割合は20%未満(日本肝胆膵外科学会http://www.jshbps.jp/modules/public/index.php?content_id=14)とされています。我々の施設では、膵臓がんを疑うご紹介を頂いてから、基本的に1週間以内にEUS診断を行う体制を取っております。スピーディーかつ質の高いEUS診療の実現により、II期以下の患者数の割合はコロナ禍でやや悪化したものの2021年度で約45%と標準より早期の診断を達成しています。
また、このプロジェクトの最大の特徴は、地域の先生方と連携して経過観察を行っていくことです。当科において膵臓がん発症リスクを評価し、リスクに応じた検査スケジュールを提案させて頂きます。先生方と我々で共同して検査スケジュールを管理しながら経過観察を行うことで、膵臓がんを疑うサインを早期に拾い上げることを目的としています。
今後とも地域の先生方のお力をお借りしつつ、地域市民の膵臓がんの早期発見に役立て、治療成績の向上に繋げて参りたいと考えております。上記の様な膵臓がん発症リスクを有する患者さんがいらっしゃいましたら、是非当科までご紹介頂ければ幸いです。
ご不明な点や緊急を要する方の場合には直接お電話での問い合わせでも構いません。よろしくお願いいたします。
担当責任者 消化器内科 関野雄典
- 私たちの取り組みが、横浜市のホームページおよび広報誌で取り上げられました。
-
2023年度から、本プロジェクトは横浜市医療局の協力のもと、「横浜市としてのプロジェクト推進」にその輪が広がりました。
-
今後、かかりつけの患者さんから先生方にご相談があるかも知れません。その際にはお手数ですが、当科への紹介をご検討頂けますようよろしくお願いいたします。
-
膵臓がん早期診断プロジェクトは毎日10:00の紹介予約で対応しています。
登録医療機関からのご紹介の場合
地域医療連携室で承ります。登録医専用予約枠を用意しておりますので、ぜひ利用ください。
登録医専用予約電話:045-474-8362(平日8:15~19:00)
登録医専用FAX:045-474-8344
(予約申込票を当院HP こちらより印刷、使用してください。)
登録医療機関以外からのご紹介の場合
登録医療機関以外からのご予約については、下記予約センターにてお受けしております。
電話:045-474-8882(平日8:15~17:00) FAX:045-474-8523(医療機関からのみ)
緊急で受診が必要なご紹介の場合
当科医師に直接ご相談いただく場合
電話:045-474-8111(平日8:15~17:00)に電話をし、交換手に「救急患者紹介のため、消化器内科の本日の担当医に電話をつないで欲しい」とお話しください。
地域医療連携室経由の場合
電話:045-474-8345(平日8:15~17:00)に電話をし、消化器内科の早急な受診についてご相談ください。
※ いずれの場合も、円滑な追加精査のために、「横浜労災病院 膵臓がん早期診断プロジェクト 紹介状資料」をご持参頂く様、お願いいたします。貴院紹介状と併用される場合は、「膵プロジェクト目的」と簡単に記載いただく形でも構いません。
健康管理センター(人間ドック)と協力し、膵臓がんオプション検査を開始しました
セカンドオピニオン外来について
セカンドオピニオン外来は通常外来枠とは別に予約を受け付けております。別途案内より申し込み下さい。
スタッフ紹介
-
副院長/内視鏡センター長/健康管理センター長
永瀬 肇/ ながせ はじめ
卒業年次 昭和61年 専門分野 消化器全般 学会専門医・認定医:
日本消化器病学会専門医・指導医 日本消化器内視鏡学 会専門医・指導医 日本内科学会認定医・研修指導医 日本肝臓学会専門医・指導医 日本カプセル内視鏡学会指導医 社会医学系専門医・指導医
-
消化器内科部長
関野 雄典/ せきの ゆうすけ
卒業年次 平成17年 専門分野 消化器全般、胆膵系内視鏡診断・治療、超音波内視鏡診断・治療 学会専門医・認定医:
日本内科学会認定内科医・総合内科専門医 日本消化器病学会消化器病専門医・指導医 日本肝臓学会肝臓病専門医・指導医 日本消化器内視鏡学会専門医・指導医 日本超音波医学会超音波専門医 日本胆道学会認定指導医 日本膵臓学会認定指導医 日本がん治療認定医機構がん治療認定医
-
内視鏡部長
内山 詩織/ うちやま しおり
卒業年次 平成19年 専門分野 消化器全般、消化管治療内視鏡 学会専門医・認定医:
日本内科学会認定内科医・総合内科専門医 日本消化器病学会専門医、 日本消化器内視鏡学会専門医・指導医、 日本消化管学会胃腸科専門医・指導医、 日本カプセル内視鏡学会認定医・指導医
-
消化器内科副部長
岡田 直也/ おかだ なおや
卒業年次 平成25年 専門分野 消化器全般、消化管治療内視鏡 学会専門医・認定医:
日本内科学会認定内科医、総合内科専門医、日本消化器病学会消化器病専門医、日本消化器内視鏡学会専門医
-
医師
春日 範樹/ かすが のりき
卒業年次 平成28年 専門分野 消化器全般、胆膵系内視鏡診断・治療 学会専門医・認定医:
日本内科学会内科専門医、日本消化器内視鏡学会専門医、日本消化器病学会専門医
-
医師
佐野 誠/ さの まこと
卒業年次 平成30年 専門分野 消化器全般 消化管治療内視鏡 学会専門医・認定医:
日本内科学会内科専門医
-
医師
枇杷田 裕佑/ びわた ゆうすけ
卒業年次 平成30年 専門分野 消化器全般 消化管治療内視鏡 学会専門医・認定医:
日本内科学会内科専門医
-
医師
松本 彰太/ まつもと しょうた
卒業年次 平成31年 専門分野 消化器全般 胆膵系内視鏡診断・治療 学会専門医・認定医:
日本内科学会内科専門医
-
医師
金田 真人/ かねだ まなと
卒業年次 令和2年 専門分野 消化器全般 -
医師
今長 大輝/ いまなが だいき
卒業年次 令和2年 専門分野 消化器全般 -
医師
野村 優/ のむら ゆう
卒業年次 令和3年 専門分野 消化器全般 -
医師
逸見 莉子/ へんみ りこ
卒業年次 令和4年 専門分野 消化器全般 -
医師
森本 紗生/ もりもと さき
卒業年次 令和4年 専門分野 消化器全般 -
医師
吉村 梨沙/ よしむら りさ
卒業年次 令和4年 専門分野 消化器内科 -
医師
白土 達也/ しらと たつや
卒業年次 令和5年 専門分野 消化器内科 -
医師
藥師寺 絢太/ やくしじ けんた
卒業年次 令和5年 -
医師
倉林 聖/ くらばやし きよし
卒業年次 令和5年
外来担当医表
診察時間 | 月 | 火 | 水 | 木 | 金 |
---|---|---|---|---|---|
新患 | ☆岡田 春日 今長 | ★関野 佐野 逸見 | ★内山 金田 白土 | 〇永瀬 野村 吉村 | 枇杷田 松本 森本 薬師寺/倉林 |
午前/再来 |
★内山 |
〇永瀬 | 今長 |
春日 |
|
午後/再来 | ★関野 枇杷田 野村 倉林 | ☆岡田 吉村 白土 | 松本 薬師寺 地口 | 森本 逸見 | 佐野 金田 |
(注)○印 : 副院長兼部長 ★印 : 部長 ☆印 : 副部長
受付時間 8:15 ~ 11:00(予約の方は、予約時間に合わせて受付いたします)
※手術・緊急呼び出し等により予告なく担当医に変更のある場合があります。ご了承ください。
※初診の方では原則的に診察医を指定することはできません。ご了承ください。
当科ではすべての医師が消化器系全般の疾患に対応します。
月曜日~金曜日まで、どの医師が診療にあたっても適切な対応ができる体制を整えていますので、曜日にこだわらずご紹介頂くようお願いしております。専門性の高い対応が必要な場合には、医師の専門性に合わせて診療担当医を調整させて頂くことがあります。
消化管間葉系腫瘍(GIST)においては、水曜日午後の地口医師が神奈川県でも屈指の症例数を経験し極めて専門性が高いため、ご紹介頂く場合、月~金曜日9:00~16:00に消化器内科外来看護師にお問合せ頂き、受診予定日をご相談ください。
紹介初診枠は随時枠数を調整し1週間以内に予約枠が取得できるように心がけています。緊急対応が必要な場合には、病状に応じて消化器内科救急担当医師か、救急部にて対応致します。医師の診療状況により対応が異なるため、日中は消化器内科外来、17:00以後の夜間や休日は救急外来にご連絡頂けると幸いです。
診療実績
件数 | ||||||
---|---|---|---|---|---|---|
令和 元年度 |
令和 2年度 |
令和 3年度 |
令和 4年度 |
令和 5年度 |
令和 6年度 |
|
上部内視鏡検査(健診部検査を除く) |
5,354 |
4,701 |
5,125 |
5,507 |
5,894 |
6,385 |
下部内視鏡検査(健診部検査を除く) | 3,295 | 3,028 | 3,100 | 3,064 | 3,255 | 3,587 |
逆行性胆管膵管造影検査(ERCP) | 715 | 583 | 690 | 693 | 740 | 762 |
超音波内視鏡検査(EUS) | 876 | 832 | 991 | 1,083 | 1,193 | 1,213 |
内視鏡的ポリープ切除術 粘膜切除術(EMR) | 633 | 592 | 691 |
758 |
782 |
935 |
内視鏡的粘膜下層剥離術(ESD) | 128 | 132 | 154 | 158 | 240 | 269 |
超音波内視鏡穿刺術(EUS-FNA) | 140 | 102 | 124 | 127 | 145 | 117 |
超音波内視鏡下治療(interventional EUS) | 26 | 17 | 23 | 20 | 26 | 25 |
施設認定
-
日本消化器病学会
-
日本消化器内視鏡学会
-
日本消化管学会
-
日本カプセル内視鏡学会
-
日本胆道学会
-
日本膵臓学会
-
日本肝臓学会
日本超音波医学会研修連携施設
-
診療科・部門のご案内
-
診療科
- 総合診療部(休止中)
- 糖尿病内科・内分泌内科・代謝内科
- 血液内科
- 腎臓内科
- リウマチ科・膠原病内科 (リウマチ・膠原病センター)
- 腫瘍内科
- 緩和支持治療科
- 心療内科・精神科
- 脳神経内科
- 呼吸器内科
- 呼吸器外科
- 消化器内科
- 循環器内科
- 小児科・新生児内科・小児外科
- 外科・消化器外科
- 乳腺外科
- 整形外科
- 脊椎脊髄外科
- 手・末梢神経外科
- 人工関節外科
- 形成外科
- 脳神経外科
- 脳神経血管内治療科
- 心臓血管外科
- 皮膚科
- 産科・分娩部
- 婦人科
- 女性ヘルスケア部
- 眼科
- 耳鼻咽喉科・頭頸部外科
- リハビリテーション科
- 放射線診断科・放射線IVR科・放射線治療科
- 麻酔科
- 泌尿器科
- 救急科・救急災害医療部
- 歯科口腔外科・口腔内科
-
部門
-
センター